Casuística
CUERPO SUELTO INTRAPERITONEAL
SINTOMÁTICO COMO CAUSA DE OBSTRUCCIÓN INTESTINAL AGUDA
Mariano
J. M. García,*1 Fernando
García Cooper,2 Juan Federico Burone,3 Guillermo O.
Britos.3
1)
Especialista en Clínica Médica y en Endocrinología. Director del Centro
Médico El Portal Salud de Gualeguay; 2) Especialista en Diagnóstico por Imágenes;
3) Servicio de Cirugía; 4) Servicio de Anatomía Patológica, Hospital San
Antonio de Gualeguay (Entre Ríos).
Resumen: Varón adulto que ingresa por insuficiencia cardíaca, presentando como
complicación obstrucción intestinal. Se observa en la tomografía y se corrobora
por exploración quirúrgica un cuerpo suelto intraperitoneal gigante (más de 5
cm) como causa de la obstrucción. Estos cuerpos sueltos son de presentación
rara y frecuentemente asintomáticos. Se presenta este caso por la rareza de la
lesión y de su presentación. Se resalta el aspecto típico de esta lesión, tanto
tomográficamente como en la anatomía patológica.
Palabras clave: cuerpo suelto intraabdominal; obstrucción
intestinal; tumoración móvil intraabdominal.
SYMPTOMATIC GIANT PERITONEAL LOOSE BODY
Summary
Adult male admitted
with cardiac failure, complicated with intestinal obstruction. Abdominal CT
exam showed a giant (> 5 cm) loose intraperitoneal object, which was
surgically removed. These loose bodies are rare and frequently asymptomatic.
The case is presented here to underline the typical appearance of the anomaly
both tomographically and pathologically,
Key words:
intraabdominal loose body; intestinal obstruction; intraabdominal mobile tumor.
Caso
clínico: Varón de 62 años que ingresa al hospital por disnea
y ortopnea de 12 horas de evolución; al examen físico se constatan rales
crepitantes, cuadro interpretado como insuficiencia cardíaca. Durante la
internación tuvo muy buena respuesta al tratamiento diurético, desapareciendo
los síntomas en el transcurso de unas horas.
Luego de 24 horas de
evolución agregó dolor y distensión abdominal difusos, además de falta de
eliminación de gases. Se colocó sonda nasogástrica con débito escaso pero con
mejoría parcial del cuadro. Se efectuó una tomografía computada de abdomen, que
mostró una masa ovoidea en la fosa ilíaca derecha de 6 x 5 x 4 centímetros. La misma
se encontraba en profundidad, separada del músculo recto anterior y del
transverso por un delgado plano de tejido graso que mostraba muy discretos
cambios densitométricos. En sentido céfalocaudal, alcanzaba el polo renal inferior y la vejiga,
respectivamente, sin tener aparente relación con ellos. La lesión era bien
definida, de contornos netos y densitometría de tejido blando, con un pequeño
núcleo de densidad grasa, que a su vez, contenía una pequeña calcificación. No había
clara relación con el tubo digestivo; tampoco
presentaba colecciones, adenomegalias, ni cambios inflamatorios
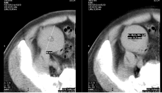
relacionados (Figura 1).

Figura
1. Corte
tomográfico horizontal del abdomen que muestra la
tumoración redondeada.
Como antecedentes
patológicos, el paciente era exfumador (10 paquetes/año), habiendo cesado el
hábito aproximadamente 10 años atrás. No se conocían otros antecedentes
patológicos pues el paciente no tenía ningún control médico previo.
Se decidió realizar
intervención quirúrgica convencional para extrayer la
tumoración.
Anatomía patológica
MACROSCOPÍA: se recibe,
fijada en formol al 10%, una masa de tejido 6 x 5 x 4 cm, con forma de huevo, de
consistencia firme elástica y color blanquecino grisáceo; al corte muestra área
central de aproximadamente 1,5 cm de diámetro, con tejido amarillento
calcificado (Figura 2). El tejido se descalcifica en EDTA, y se preparan 2
tacos con reserva.
MICROSCOPÍA: las secciones muestran tumoración
constituida por capas concéntricas de tejido fibroso que se colorean de azul
con la tinción tricrómica de Gomori, lo que demuestra ser colágeno, y con
proliferación de células fusiformes parecidas a fibroblastos en las capas
externas (Figura 3). En el centro de la lesión y coincidiendo con la zona de
tejido calcificado observada macroscópicamente, se visualiza tejido adiposo,
saponificado, necrosado y calcificado (Figura 4).

Figura
2. Macroscopía
del tumor.

Figura
3. Microscopía
mostrando disposición fusiforme de células y colágeno.

Figura
4. Tejido
adiposo de la parte central del tumor, mecrosado y
calcificado.
Diagnóstico
e interpretación anatomopatológica
Cuerpo peritoneal
suelto gigante, sin atipías.
Se postula que esta
lesión se originó en un apéndice epiploico que siguió esta secuencia: torsión,
necrosis, saponificación y calcificación. Esto serviría de núcleo para el
depósito de material proteináceo de origen exudativo y proliferación secundaria
de fibroblastos responsables de la formación de capas concéntricas de tejido
fibroso hialino, mecanismo que probablemente origina el aumento de tamaño de la
tumoración.
Discusión
Los cuerpos sueltos
intraperitoneales son un raro hallazgo, principalmente las formas “gigantes” (giant loose peritoneal body) es
decir, de más de 5 centímetros de diámetro. Son raramente descriptos en la
literatura aunque se conocen desde hace varios siglos.1-4
En oportunidades son
hallazgos en estudios realizados por otro motivo (incidentaloma) lo que plantea
diagnósticos diferenciales con otras patologías (tumoraciones benignas y
malignas de distinto origen, granulomas, cuerpos extraños). Un dato llamativo
en los estudios de imágenes es la aparición de la imagen en distintos lugares
del abdomen o pelvis en estudios seriados.
En este caso, el
paciente ingresó por otro motivo (insuficiencia cardíaca) desarrollando un
cuadro de obstrucción intestinal; a raíz de ello se realizó el estudio por
imágenes que determinó la presencia de la lesión, que pudo extraerse en la
exploración quirúrgica abdominal.
El aspecto macroscópico
de “huevo hervido” (boiled
egg) es típico.5 El mecanismo
propuesto en la formación de este tipo de lesiones es la torsión de un apéndice
epiploico, seguido de necrosis, saponificación y calcificación, lo que
posteriormente se rodea de material proteinaceo de origen exudativo y
proliferación de fibroblastos que forma las capas externas.
En el caso presentado,
la exploración quirúrgica fue necesaria para resolver la obstrucción intestinal
producida por la masa intraperitoneal.
Referencias
1. Kim HS, Sung JY, Park WS, Kim YW. A
giant peritoneal loose body. Korean J Pathol 47: 378-82, 2013.
2. Makineni H, Thejeswi
P, Prabhu S, Bhat RR. Giant peritoneal loose body: a case report and review of literature. J
Clin Diagn Res 8: 187-8,
2014.
3. Hunt VC. Torsion of appendices epiploicae. Ann Surg 69:
31-46, 1919.
4. Sewkani A, Jain A, Maudar
K, Varshney S. ‘Boiled
egg’ in the peritoneal cavity - A giant peritoneal loose body in a 64-year-old
man: A case report. J Med Case Rep 5: 297, 2011.
5. Elsner
A, Walensi M, Fuenfschilling
M, Rosemberg R, Mechera R. Symptomatic giant peritoneal loose body in
the pelvic cavity: A case report. Int J Surg Case Rep 21: 32-5,
2016.
* Dirección postal: Avda. Soberanía 179, (2840) Gualeguay, E.R., Argentina.
Correo electrónico: mjmgarcia5@yahoo.com.ar